Cuando el golpe parece “menor”, pero el cerebro necesita una evaluación más profunda



Un golpe en la cabeza no siempre produce pérdida de conciencia.
No siempre hay fractura.
No siempre la tomografía muestra alteraciones.
Sin embargo, el paciente puede presentar:
- Dolor de cabeza persistente
- Mareos
- Alteraciones de memoria
- Dificultad de concentración
- Cambios de ánimo
- Sensibilidad a la luz
En estos casos hablamos de traumatismo craneoencefálico leve (TCE leve), una condición que muchas veces es subestimada.
En Anestimagen, entendemos que lo “leve” no significa irrelevante. La resonancia magnética cumple un rol fundamental cuando los síntomas persisten o cuando se requiere una evaluación cerebral más detallada.
¿Qué es un traumatismo craneoencefálico leve?
El TCE leve suele definirse por:
- Glasgow 13–15
- Pérdida de conciencia breve o inexistente
- Amnesia transitoria
- Confusión post-trauma
Es frecuente en:
- Accidentes deportivos
- Caídas domésticas
- Accidentes de tránsito
- Golpes laborales
En la mayoría de los casos, la tomografía computada (TC) inicial es normal, ya que su principal objetivo es descartar hemorragias agudas o fracturas.
Pero el cerebro puede sufrir alteraciones microscópicas que la tomografía no detecta.
¿Cuándo la resonancia magnética es clave?
La resonancia no siempre es el primer examen de urgencia, pero sí se vuelve fundamental cuando:
- Los síntomas persisten más de 7–14 días
- Hay deterioro cognitivo progresivo
- Se sospecha lesión axonal difusa
- Existen alteraciones neurológicas sin explicación en TC
- Hay antecedentes de múltiples conmociones
Aquí es donde la resonancia aporta valor clínico profundo.
Lesiones que la resonancia puede detectar en TCE leve
Lesión axonal difusa (microlesiones microscópicas)


La aceleración y desaceleración brusca puede generar daño en las conexiones neuronales (axones).
Estas lesiones pueden ser invisibles en TC pero detectables en RM mediante:
- Secuencias FLAIR
- Difusión (DWI)
- Tensor de difusión (DTI)
Son responsables de síntomas cognitivos persistentes.
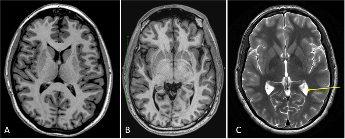
Microhemorragias cerebrales

Pequeñas hemorragias puntiformes pueden pasar desapercibidas en tomografía.
La resonancia, especialmente con secuencias de susceptibilidad magnética (SWI), puede identificarlas con alta sensibilidad.
Estas microhemorragias pueden explicar:
- Cefalea persistente
- Trastornos de atención
- Fatiga cognitiva
Contusiones corticales pequeñas


Pequeñas áreas de edema o contusión pueden no ser evidentes inicialmente en TC.
La resonancia permite visualizar:
- Edema cerebral focal
- Inflamación cortical
- Evolución de la lesión en el tiempo
Importancia médica de un diagnóstico preciso
El cerebro no duele, pero sus consecuencias sí impactan profundamente la vida del paciente.
Un TCE leve mal evaluado puede evolucionar hacia:
- Síndrome post-conmocional
- Trastornos cognitivos persistentes
- Ansiedad o depresión secundaria
- Dificultades laborales o escolares
La resonancia permite:
✅ Correlacionar síntomas con hallazgos estructurales
✅ Planificar rehabilitación neurocognitiva
✅ Determinar pronóstico
✅ Entregar tranquilidad cuando el estudio es normal
¿Y si la resonancia es normal?
Un resultado normal también tiene valor clínico.
Permite:
- Descartar lesiones estructurales significativas
- Orientar hacia manejo sintomático
- Evitar estudios innecesarios adicionales
- Reducir ansiedad del paciente y familia
En medicina moderna, descartar con certeza también es parte del tratamiento.
Prevención y conciencia
En deportistas, especialmente en disciplinas de contacto, la evaluación adecuada después de una conmoción es fundamental.
La repetición de traumatismos sin recuperación completa puede aumentar el riesgo de daño acumulativo.
Educar sobre:
- Uso de protección adecuada
- Reposo cerebral
- Evaluación médica oportuna
- No minimizar síntomas
Es parte del enfoque preventivo.
El compromiso de Anestimagen
En Anestimagen trabajamos con:
- Protocolos específicos para trauma cerebral
- Resonancia de alta resolución
- Secuencias avanzadas para microlesiones
- Evaluación cuidadosa de cada caso clínico
Entendemos que detrás de cada estudio hay:
- Un niño que sufrió una caída
- Un deportista que quiere volver a jugar
- Un adulto preocupado por su memoria
- Una familia que necesita respuestas claras
La resonancia magnética no reemplaza la evaluación clínica, pero la complementa con una visión profunda del tejido cerebral.
Conclusión
En el traumatismo craneoencefálico leve, la ausencia de hallazgos en tomografía no siempre significa ausencia de lesión.
Cuando los síntomas persisten o el contexto clínico lo amerita, la resonancia magnética se convierte en una herramienta diagnóstica de alto valor.
En Anestimagen, creemos que cada cerebro merece una evaluación completa, precisa y profesional.
Porque incluso los golpes “leves” pueden requerir una mirada experta.